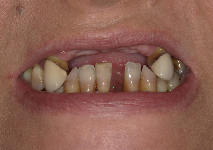
Before - Fusion Dental Before
Before - Fusion Dental Before
After - fusiondental Dental After
After - Fusion Dental After

Case 1 - Dental Implants

Upper & Lower All on 4Full Mouth Dental ImplantsSame Day Teeth.

I really am lost for words. I am so happy with my new smile and can’t believe I was in zero pain after surgery. I have struggled with dental pain my whole life, so this has truly been life changing for me. I can now smile with confidence again. Thank you Fusion.

For more information regarding this treatment
Call 029 2021 4304 OR CONTACT US TODAY
BACK TO SMILE GALLERY
logo right black plain shape
Google Rating
4.8
Google Rating
Google-review