All-on-4 implants let you transform your smile in one day.
All-on-four and all-on-six dental implants offer a long lasting solution to lost or failing teeth. Using four to six screws and a precision-engineered fixed full-arch dental implant, it completely transforms the appearance of your smile and gives you back your dental function.
If you live with poor oral health, missing teeth or loose dentures, dental implants could help to restore lost function and confidence.
At South Wales’ Fusion Dentistry, we love All-on-4 – a revolutionary implant technique that offers patients a much-improved recovery time.
It’s all thanks to the precision placement of the implants at a 45-degree angle, which means your new smile will stay in place with half the number of implants. It also means you can visit our Cardiff clinic in the morning and leave in time to eat lunch with your new replacement teeth.
Why Choose All-on-4?
All-on-4 Dental Implants Explained
If your dentures are ill-fitting or uncomfortable then it’s likely that you’re researching other options.
Perhaps you’ve been told by your dentist that you don’t have enough healthy bone to fit traditional dental implants. Whether this is the case or not, all-on-four-dental implants could be the solution you’ve been looking for.
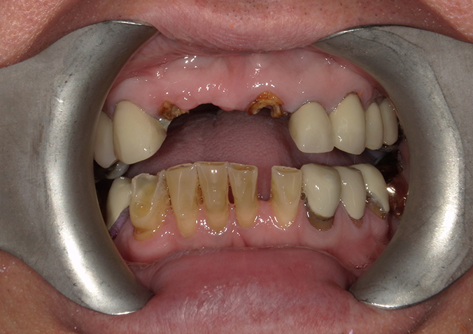
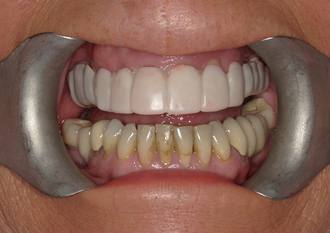
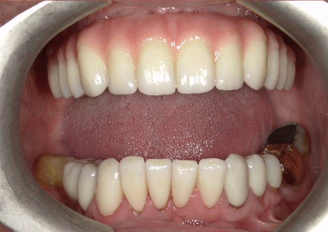
The all-on-four procedure completely restores the upper and/or lower arch by placing four dental implants in each jaw, which are fitted to a dental bridge.
This gives you a full set of permanent teeth that won’t move around and cause irritation like dentures can. Your all-on-four dental implants will look and feel completely natural.
Four titanium screws will be placed into each jaw, acting as the roots of the teeth. These bond to the bone in the same way that a real tooth root would. The dental bridge is then attached to these, giving you the perfect smile you’ve always dreamed of.
The great thing about all-on-four dental implants is that they can be a successful alternative to bone grafting, a complex surgical procedure that is sometimes needed for other types of dental implants. This minimises your time spent in surgery and can also prevent future bone degradation caused by tooth loss and periodontal disease.
If you have missing teeth, struggle with an ill-fitting denture or have been subject to a failing dental bridge, finding a long-lasting solution may feel impossible. But, with our advanced alternative to all on four dental implants, you can benefit from a complete restoration of your smile using just four to six anchor screws.
The FusionSolution available only at Fusion Dentistry is an advanced alternative to all-on-4 dental implants as our highly specialised team can add two more implants in the upper jaw (in the Pterygoid, Zygomatic & nasalus areas) that makes it suitable for people with very low bone levels, even if you have been told by your own dentist that you are not suitable we are confident that our solution can still help you.
These implants are not singular teeth on implants placed next to each other, they are a one-piece, full jaw prosthetic bridge secured in place by 4 to 6 implants per jaw, and the best bit? You can leave after just one day with brand new fixed teeth that allow you to smile, eat and socialise with confidence.
Dental treatments like all-on-four help those people with failing teeth to regain a confident, healthy smile.
Our unique clinics and in-house labs allow us to design, produce, and fit a completely bespoke, screw-retained prosthetic all on the same day, giving you a new smile in a day.
If you’d like to talk to our expert team about All-on-4 or any other of the treatments on offer at Cardiff’s friendliest practice, get in touch.
If you’d like to talk to our expert team about All-on-4 or any other of the treatments on offer at Cardiff’s friendliest practice, get in touch.
Welcome to Fusion Dentistry! We are excited to guide you through the process of becoming a new patient at our award-winning clinic.
Your journey to a healthier, more beautiful smile starts with a FREE discovery call with one of our lovely, non-judgemental, and caring treatment coordinators.
During this call, our treatment coordinators will:
If you’d like to talk to our expert team about All-on-4 or any other of the treatments on offer at Cardiff’s friendliest practice, get in touch.
Deciding to replace teeth with implants can be a significant decision, so why not look at some of our most frequently asked questions. If you don’t find the answers, you’re looking for them below.
A dental implant is a titanium post inserted in the jaw that acts as a replacement root for the teeth.
Titanium is a strong, biocompatible material, so it fuses naturally with the jaw bone to form a lasting bond.
Yes – the procedure is generally suitable for all.
In fact, we can use advanced techniques to give you replacement teeth even if you have been refused treatment elsewhere.
No – With All-on-4, we’ll provide temporary replacement teeth to wear while your permanent teeth are being produced.
Your temporary teeth will look and feel 100% natural and allow you to go back to eating your favourite foods with confidence again.
No – we’ll use a local anaesthetic and also offer sedation from our consultant anaesthetist so that you will be comfortable during treatment.
We understand that you may experience some tenderness and swelling in the few days after treatment, but this will quickly subside.
You can usually manage any discomfort afterwards with over-the-counter pain relief.
Yes – All-on-4 is a tried and tested technique supported by decades of evidence-based research.
The procedure enjoys an extremely high success rate of over 95%.
If you’d like to talk to our expert team about All-on-4 or any other of the treatments on offer at Cardiff’s friendliest practice, get in touch.
Upper & Lower All on 4 – Full Mouth Dental Implants – Same Day Teeth. I really am lost for words. I am so happy with my new smile and can’t believe I was in zero pain after surgery. I have struggled with dental pain my whole life, so this
LEARN MOREUpper & Lower All on 4 – Full Mouth Dental Implants – Same Day Teeth.
LEARN MOREUpper & Lower All on 4 – Full Mouth Dental Implants – Same Day Teeth.
LEARN MOREUpper & Lower All on 4 – Full Mouth Dental Implants – Same Day Teeth.
LEARN MOREUpper & Lower All on 4 – Full Mouth Dental Implants – Same Day Teeth.
LEARN MOREUpper & Lower All on 4 – Full Mouth Dental Implants – Same Day Teeth.
LEARN MOREUpper & Lower All on 4 – Full Mouth Dental Implants – Same Day Teeth. Wanted lower not completely straight and in line. All teeth are bespoke to patient wants.
LEARN MOREUpper & Lower All on 4 – Full Mouth Dental Implants – Same Day Teeth.
LEARN MOREUpper and Lower All on 4 – Full Mouth Dental Implants – Same Day Teeth. The patient had bought a ‘snap on smile’ online and glued them in herself (upper teeth).
LEARN MORE“2I have been with Fusion since February 2023 and I can honestly say that both the treatment and service I have received has been excellent. From my initial consultation where they listened, understood...” and supported me to find the best solution that was right for me, to the final fitting of my permanent upper and lower “All on 4 implants” This has been a life changing experience for me, I can now eat what I want pain free and smile with confidence. My new teeth are absolutely incredible and its all thanks to the Fusion Team. I would encourage anyone considering implants to visit Fusion and have an assessment, It is by far one of the best decisions I have ever made. ”
“From my initial chats with Katy Hulse to the finishing touches by Tim and Coral I’ve been impressed by the high standards of care shown by the entire team at Fusion. They somehow combine profess...”ionalism with a friendly approach that works perfectly. I didn’t meet everyone at Fusion but the primary one day dental work led by Guy, Craig and team went like clockwork, and so has each visit since. And I must mention Marlena and everyone on reception, always a cheerful welcome when you walk in the door. So I am pleased to recommend Fusion Dentistry, they are in my experience the go to place for Dental work, particularly implant surgery, in our part of the world. ”
“If you are even just considering getting dental implants please go and see the team at Fusion. This is like no other dentist experience I’ve ever had. I could write lines and lines about how goo...”d this team is, but the best advice I can give is go and see them. I guarantee you will not regret it. ”
“Cannot fault Fusion Dentistry. Made to feel very welcome after being referred to them. All of the staff are amazing and make you feel at ease and very comfortable throughout all my visits. ”
“From day one of being introduced to fusion and the staff it’s been absolutely terrific. Staff friendly technicians really know what they’re doing and put your mind at rest from the start. Operatio...”n day went like a dream excuse the pun as I had sedation. Follow/check up with great staff again. Always make you feel comfortable. Well done all would highly recommend. ”
“Excellent clinic with awesome staff. My procedure was quite intimidating on paper but from the first visit there was an influx of confidence that helped going through the process. The procedure went r...”eally well, with one of the top clinicians in the country leading the surgery, doing some extra engineering that would make the results better and more durable as I like to thing I’m still young. The follow up was great, with plenty of appointments to make sure everything was going as planned and the team working hard and precisely to overcome some difficulties brought about by an overbite. In contrast with NHS where they offered to saw off some of my jawbone and then sticking it back together to compensate, Fusion found a way to achieve this without so much pains and sacrifices. I would encourage anyone who needs a procedure to at least visit the clinic and have their assessment, any fears or insecurities will vanish after that first visit and the staff will look after you for the years to come. I am myself very glad I put myself in their hands. ”
“I am posting this review on behalf of my wife as she does not have a google account. Her opinion is that the team at Fusion are friendly and professional. They explained the treatment process, which i...”ncluded inserting 3 titanium rods into her jaw bone on which 3 new teeth were eventually bonded. The process took around 9 months and she was kept fully informed as to what would be done and when. She felt very comfortable with the work being done and that the surgeons operating were at the top of their profession. She unequivocally recommends Fusion to anyone contemplating using their services. Also, Fusion were highly recommended by her own private dental surgeon when the procedure required could not be delivered at his practice. ”
“I have been with Fusion since November 2021 and can only say that the service and treatment I have received in that time has been absolutely superb. I received treatment for a full upper dental implan...”t which was carried out in one day and the professionalism of staff, dental staff and Dr was second to none. The work carried out prior to the operation, during and after was brilliant. There were no complications at any time and today I have a perfect set of dental implants which has put a big smile back on my face. I would recommend Fusion to anybody and would go back at any time. Many thanks for the help and treatment you gave and still are. JR. ”
“There is only one question, “Is it worth it?” The simple answer is yes every penny. What price peace of mind… Fusion Dentistry are the smile makers. If this is a journey you are thin...”king of taking. Take it with Fusion. From the first appointment to the last and beyond they will guide you through the process. Everything about them is five star. Everybody is helpful and informative, nothing is to much trouble. For me the after care was very important. Happy to report it was fabulous. Highly recommended !!! ”
“The whole team at Fusion Dentistry create an atmosphere that is welcoming, human, caring and calm. I was deeply anxious about dentistry and embarrassed about my teeth. However, as soon as I got in tou...”ch with Fusion, it was clear that their approach is to understand, support and find solutions that are right for you. I felt in very safe hands, guided step-by step throughout my treatment to get a new smile and the aftercare is excellent and reassuring. I would encourage anyone not to struggle on their own worrying about their teeth and to get in touch with the team at Fusion. It was one of the best things I’ve ever done and it is beyond lovely to be able to smile freely without worry. ”
2I have been with Fusion since February 2023 and I can honestly say that both the treatment and service I have received has been excellent.
From my initial consultation where they listened, understood and supported me to find the best solution that was right for me, to the final fitting of my permanent upper and lower “All on 4 implants” This has been a life changing experience for me, I can now eat what I want pain free and smile with confidence.
My new teeth are absolutely incredible and its all thanks to the Fusion Team. I would encourage anyone considering implants to visit Fusion and have an assessment, It is by far one of the best decisions I have ever made.
From my initial chats with Katy Hulse to the finishing touches by Tim and Coral I’ve been impressed by the high standards of care shown by the entire team at Fusion. They somehow combine professionalism with a friendly approach that works perfectly.
I didn’t meet everyone at Fusion but the primary one day dental work led by Guy, Craig and team went like clockwork, and so has each visit since. And I must mention Marlena and everyone on reception, always a cheerful welcome when you walk in the door.
So I am pleased to recommend Fusion Dentistry, they are in my experience the go to place for Dental work, particularly implant surgery, in our part of the world.
If you are even just considering getting dental implants please go and see the team at Fusion. This is like no other dentist experience I’ve ever had. I could write lines and lines about how good this team is, but the best advice I can give is go and see them. I guarantee you will not regret it.
Cannot fault Fusion Dentistry. Made to feel very welcome after being referred to them. All of the staff are amazing and make you feel at ease and very comfortable throughout all my visits.
From day one of being introduced to fusion and the staff it’s been absolutely terrific.
Staff friendly technicians really know what they’re doing and put your mind at rest from the start.
Operation day went like a dream excuse the pun as I had sedation.
Follow/check up with great staff again. Always make you feel comfortable.
Well done all would highly recommend.
Excellent clinic with awesome staff.
My procedure was quite intimidating on paper but from the first visit there was an influx of confidence that helped going through the process.
The procedure went really well, with one of the top clinicians in the country leading the surgery, doing some extra engineering that would make the results better and more durable as I like to thing I’m still young.
The follow up was great, with plenty of appointments to make sure everything was going as planned and the team working hard and precisely to overcome some difficulties brought about by an overbite. In contrast with NHS where they offered to saw off some of my jawbone and then sticking it back together to compensate, Fusion found a way to achieve this without so much pains and sacrifices.
I would encourage anyone who needs a procedure to at least visit the clinic and have their assessment, any fears or insecurities will vanish after that first visit and the staff will look after you for the years to come.
I am myself very glad I put myself in their hands.
I am posting this review on behalf of my wife as she does not have a google account. Her opinion is that the team at Fusion are friendly and professional. They explained the treatment process, which included inserting 3 titanium rods into her jaw bone on which 3 new teeth were eventually bonded. The process took around 9 months and she was kept fully informed as to what would be done and when. She felt very comfortable with the work being done and that the surgeons operating were at the top of their profession. She unequivocally recommends Fusion to anyone contemplating using their services. Also, Fusion were highly recommended by her own private dental surgeon when the procedure required could not be delivered at his practice.
I have been with Fusion since November 2021 and can only say that the service and treatment I have received in that time has been absolutely superb. I received treatment for a full upper dental implant which was carried out in one day and the professionalism of staff, dental staff and Dr was second to none. The work carried out prior to the operation, during and after was brilliant. There were no complications at any time and today I have a perfect set of dental implants which has put a big smile back on my face. I would recommend Fusion to anybody and would go back at any time. Many thanks for the help and treatment you gave and still are. JR.
There is only one question, “Is it worth it?”
The simple answer is yes every penny. What price peace of mind…
Fusion Dentistry are the smile makers. If this is a journey you are thinking of taking. Take it with Fusion. From the first appointment to the last and beyond they will guide you through the process.
Everything about them is five star. Everybody is helpful and informative, nothing is to much trouble. For me the after care was very important. Happy to report it was fabulous.
Highly recommended !!!
The whole team at Fusion Dentistry create an atmosphere that is welcoming, human, caring and calm. I was deeply anxious about dentistry and embarrassed about my teeth. However, as soon as I got in touch with Fusion, it was clear that their approach is to understand, support and find solutions that are right for you. I felt in very safe hands, guided step-by step throughout my treatment to get a new smile and the aftercare is excellent and reassuring. I would encourage anyone not to struggle on their own worrying about their teeth and to get in touch with the team at Fusion. It was one of the best things I’ve ever done and it is beyond lovely to be able to smile freely without worry.