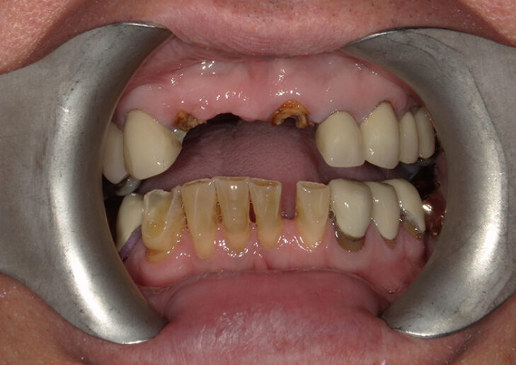
Before - Fusion Dental Before
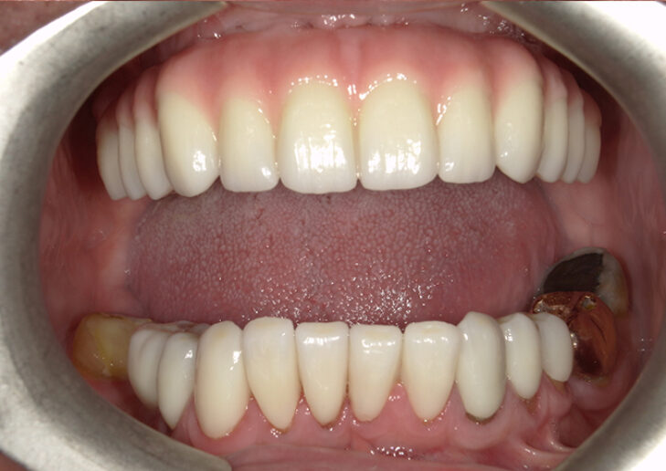
After - Fusion Dental After

Case 10 - Dental Implants

Upper & Lower All on 4Full Mouth Dental ImplantsSame Day Teeth. Wanted lower not completely straight and in line. All teeth are bespoke to patient wants.

For more information regarding this treatment
Call 029 2021 4304 OR CONTACT US TODAY
BACK TO SMILE GALLERY
logo right black plain shape
Google Rating
4.8
Google Rating
Google-review